Pacjent: wiek 37 l.
Badanie z dnia: 9.10.2024
Badanie wykonano na aparacie: Carestream CS 9600
Parametry techniczne badania: 120kV, 6,3mA, 20s 673mGy*cm²

ANALIZA BADANIA
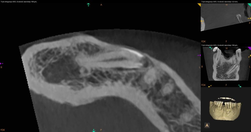
Tomografia CBCT żuchwa.
Ząb 41 – całkowicie zatrzymany. Położony skośnie, koroną skierowany w stronę mezjalną z przekroczeniem linii pośrodkowej. Korona zęba 41 położona po stronie przedsionkowej wierzchołków korzeni 33 i 32. Resorpcja korzeni niewidoczna. Wierzchołek korzenia zęba 41 lekko zagięty.

![]()
![]()
![]()
![]()
![]()
![]()
