Pacjent: wiek 62 l.
Badanie z dnia: 05.11.2021
Badanie wykonano na aparacie: Kodak CS 9600
Parametry techniczne badania: 120kV, 5mA, 12s, 603 mGy*cm2

OPIS BADANIA
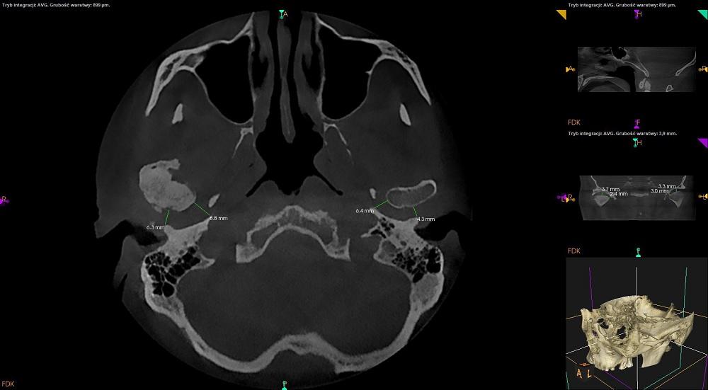
CBCT stawów skroniowo – żuchwowych w zwarciu.
Uwidoczniono zaawansowane zmiany zwyrodnieniowe w obrębie prawego stawu skroniowo – żuchwowego z objawami:
-szpara stawowa zwężona,
-występuje sklerotyzacja podchrzęstna powierzchni stawowych,
-powierzchnie stawowe spłaszczone,
-na przedniej powierzchni prawej głowy żuchwy osteofit, czyli wyrośla kostne.
Znaczna sklerotyzacja wyrostka kłykciowego wraz z przebudową zzś jest dobrze widoczna na przekroju strzałkowym.
Staw lewy :
Głowa żuchwy przesunięta w panewce do dołu i do przodu.
Kształt głowy żuchwy zaokrąglony, obrys regularny, bez zmian.

![]()
![]()
![]()
![]()
![]()
![]()
