Pacjent: wiek 33 l.
Badanie z dnia: 23.10.2020
Badanie wykonano na aparacie: Kodak CS 9600
Parametry techniczne badania: 120kV, 6,3mA, 20s

OPIS BADANIA
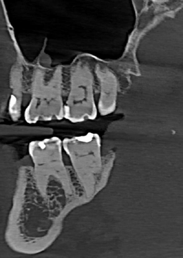
CBCT szczęki i żuchwy.
Zęby przedtrzonowe i trzonowe z cechami taurodontyzmu.
Wydłużone komory zębów o prostokątnym kształcie i skrócone korzenie na skutek przesunięcia furkacji w kierunku wierzchołkowym.
Częściowo zobliterowane światło komór oraz kanałów korzeniowych.
FOTOGRAFIE SZCZEGÓŁOWE
Zmiany zapalne wokół wierzchołków korzeni zębów 31,41.
Ząb 41 – leczony endodontycznie.
Skomplikowany system kanałowy zęba ,dwa podstawowe ,kanały poprzeczne . Materiał endodontyczny widoczny w kanale wargowym oraz częściowo zapłynął do kanalików poprzecznych.
Puste światło kanału językowego.
Ząb 31 o podobnej do zęba 41 anatomii wewnętrznej.

![]()
![]()
![]()
![]()
![]()
![]()
