Pacjent: wiek 53 l.
Badanie z dnia:22.11.2018
Badanie wykonano na aparacie:Kodak CS 9300
Parametry techniczne badania:84kV,5mA,20s

OPIS BADANIA
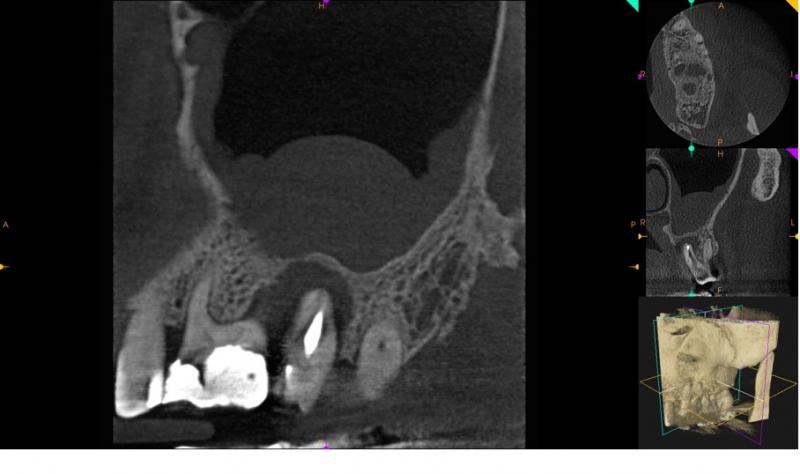
Tomografia szczęka, okolica 27.
Zatoka szczękowa lewa zmieniona patologicznie. Zatoka niepowietrzna w około 1 swojej objętości.
Ciągłość dna zatoki szczękowej zachowana.
Ząb 26 – przeleczony kanałowo. Wypełnione trzy kanały. Kanał podniebienny wypełniony na całej swojej długości. W kanałach policzkowych w części przywierzchołkowej materiał wypełniający niewidoczny (mezialny – 2,5mm, dystalny – 1,5mm). Kształt korzenia mezialnego oraz przejaśnienie znajdujące się w kierunku podniebiennym od kanału mezialnego może sugerować obecność kanału dodatkowego. W okolicy okołowierzchołkowej korzenia mezialnego widoczne ognisko rozrzedzenia struktury kostnej o średnicy 1,5mm x 2,5mm.
Fotografie szczegółowe
Ząb 27 – przeleczony kanałowo. Wypełniony kanał podniebienny. Kanały policzkowe niewypełnione. W korzeniu mezialnym materiał wypełniający widoczny w policzkowo od naturalnego światła kanału (via falsa).
W korzeniu podniebiennym widoczne radiologiczne przejaśnienie mogące odpowiadać szczelinie złamania.
Wokół korzeni widoczne rozległe ognisko rozrzedzenia struktury kostnej obejmujące całą długość korzeni mezialnego i podniebiennego.
Zmiana powoduje przerwanie ciągłości blaszki zbitej kości szczęki od strony podniebiennej.

![]()
![]()
![]()
![]()
![]()
![]()
