Rozległa zmiana w zatoce szczękowej prawej
Pacjentka: wiek 49 l.
Badanie z dnia: 25.08.2021
Badanie wykonano na aparacie: Kodak CS 9600
Parametry techniczne badania: 120kV, 6,3mA, 20s, 1147mGy*cm²
ANALIZA BADANIA
Tomografia szczęka i żuchwa.
Szczęka.
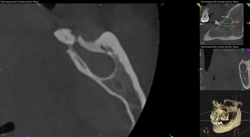
W zatoce szczękowej prawej widoczna rozległa zmiana z obwodowym zwapnieniem o wymiarach około 28mm x 28mm x 29mm. Zmiana modelująca, widoczne znaczne uwypuklenie ściany bocznej z rozległym ubytkiem ciągłości (około 16mm). Przerwanie ciągłości dna zatoki w okolicy 16. Ściana przyśrodkowa zatoki lekko wymodelowana, ciągłość zachowana. Hiperostoza ściany bocznej prawej zatoki powyżej zmiany. Do konsultacji laryngologicznej i dalszej diagnostyki.
Zatoka szczękowa lewa powietrzna. Śluzówka zatoki niezmieniona.
Pozostawione korzenie resztowe zębów 18 i 16. Wierzchołek korzenia zęba 16 w świetle zmiany.
Uogólniony zanik wysokości wyrostka zębodołowego szczęki (około 2,5mm).
Zanik większy przy zębach trzonowych – około 5mm.
Ząb 22 - bez znamion leczenia kanałowego. Brak korony zęba. Wokół wierzchołka korzenia ognisko rozrzedzenia struktury kostnej (5mm x 4mm x 3,5mm) obejmujące blaszkę zbitą po stronie przedsionkowej.
Korzeń resztkowy zęba 24. W okolicy okołowierzchołkowej rozległe ognisko osteolityczne o nieregularnym kształcie (7mm x 11,5mm x 6mm) obejmujące blaszkę zbitą po stronie przedsionkowej oraz wierzchołek korzenia zęba 25.
Ząb 25 - bez znamion leczenia kanałowego. Widoczne dwa światła kanałów. Wierzchołek korzenia objęty zmianą. Zanik tkanki kostnej przy korzeniu.


Pozostałe zęby bez znamion leczenia kanałowego. Tkanki okołowierzchołkowe bez widocznych radiologicznie cech patologicznych.
Radiologiczne przejaśnienia mogące odpowiadać próchnicy lub ubytkom w zębach: 12 – strona dystalna, 26 – powierzchnia żująca - do dalszej diagnostyki kliniczne.
Żuchwa
Uogólniony zanik wysokości wyrostka zębodołowego żuchwy (około 3mm).
Korzeń resztkowy zęba 38. W okolicy okołowierzchołkowej rozległe ognisko osteolityczne (9mm x 12,5mm x 6,5mm).
W okolicy 36 ognisko zagęszczenia struktury kostnej lub pozostawiony fragment korzenia zeba 36.
Ząb 35 - bez znamion leczenia kanałowego. Zanik tkanki kostnej przy korzeniu zęba. Po stronie dystalnej ubytek tkanki kostnej prawdopodobnie po ekstrakcji korzenia mezialnego zęba 36. Jama poekstrakcyjna połączona z wierzchołkiem korzenia zęba 35.
Korzenie resztkowe zęba 46. W okolicy okołowierzchołkowej rozległe ognisko osteolityczne o nieregularnym kształcie (9mm x 12mm x 3,5mm).
Pozostałe zęby bez znamion leczenia kanałowego. Tkanki okołowierzchołkowe bez widocznych radiologicznie cech patologicznych.
Radiologiczne przejaśnienia mogące odpowiadać próchnicy lub ubytkom w zębach: 48 – strona mezialna i powierzchnia żująca - do dalszej diagnostyki kliniczne.
Wróć do przypadków