Pacjent: wiek 14 l.
Badanie z dnia: 17.02.2022
Badanie wykonano na aparacie: Kodak CS 9600
Parametry techniczne badania: 120kV, 3,2mA, 20s 342mGy*cm²

ANALIZA BADANIA
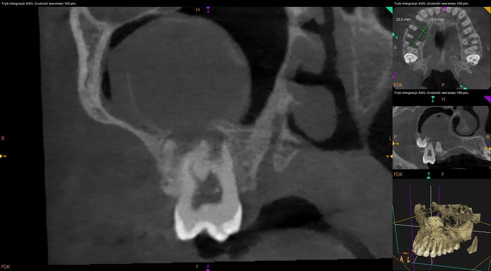
Tomografia szczęka.
Zatoka szczękowa prawa patologicznie zmieniona. Zatoka niepowietrzna w około 80% swojej objetości.
Regularny kopułowaty kształt zacienienia oraz obecność rąbka kostnego na górnej powierzchni zacienienia sugerują zębopochodne pochodzenie zmiany.
Ubytek w ścianie przedniej zatoki szczękowej prawej.

![]()
![]()
![]()
![]()
![]()
![]()
