Pacjentka: wiek 35 l.
Badanie z dnia: 13.11.2021
Badanie wykonano na aparacie: Kodak CS 9600
Parametry techniczne badania: 120kV, 6,3mA, 20s 1147mGy*cm²

OPIS BADANIA
Tomografia szczęka i żuchwa.
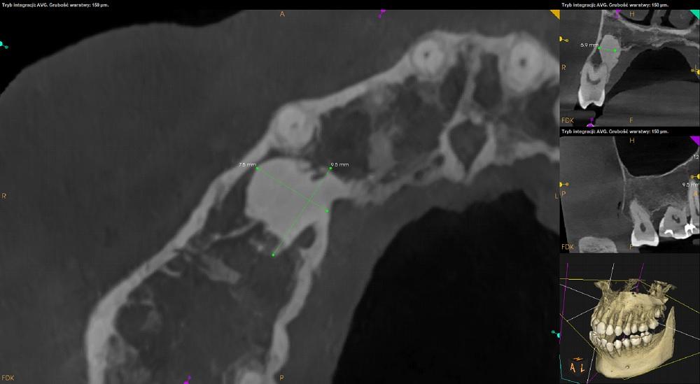
Wokół korzenia podniebiennego zęba 14 rozległe ognisko osteosklerotyczne (około 12,5mm x 9,5mm x 7,5mm) zlewające się z blaszką zbitą po stronie podniebiennej.
Widoczna resorpcja korzenia podniebiennego.
Obraz radiologiczny może odpowiadać dysplazji cementowo-kostnej.

![]()
![]()
![]()
![]()
![]()
![]()
