Pacjentka: wiek 30 l.
Badanie z dnia: 06.10.2021
Badanie wykonano na aparacie: Kodak CS 9600
Parametry techniczne badania: 120kV, 6,3mA, 20s, 1147mGy*cm²

OPIS BADANIA
Tomografia szczęka i żuchwa.
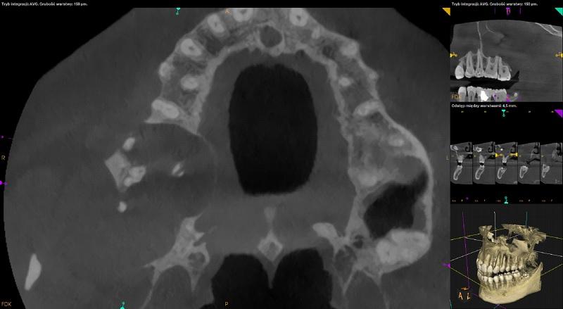
Szczęka.
Rozległa zmiana w widocznym zakresie prawej zatoki szczękowej modelujące, uwypuklające, cienkie ograniczenia kostne zatoki z rozległą destrukcją bocznej ściany oraz dna zatoki w okolicy 18 (około 41mm x 29,5mm x 38,5mm). Rozdęcie zarysu wyrostka zębodołowego w okolicy 16-17 z destrukcja blaszek zbitych po stronie przedsionkowej i podniebiennej. Wierzchołki korzeni zębów 17,16 objęte zmianą – widoczna resorpcja wierzchołków korzeni. Zmiana wpukla się do przewodu nosowego środkowego prawego ograniczając jego drożność. Przemieszczony ząb 18 widoczny w części górnej zatoki przy ścianie przedniej. Możliwa torbiel zapalna, mucocele - do pilnej konsultacji laryngologicznej i chirurgicznej z ewentualnym poszerzeniem diagnostyki (np. w badaniu TK z kontrastem iv), ocena kliniczna i ew.biopsja.

![]()
![]()
![]()
![]()
![]()
![]()
