Pacjent: wiek 21 l.
Badanie z dnia: 08.09.2020
Badanie wykonano na aparacie: Kodak Carestream CS 9600
Parametry techniczne badania: 120kV, 6,3mA, 18,96s

OPIS BADANIA
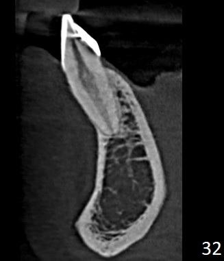
CBCT wycinkowe żuchwy.
Zęby w trakcie leczenia ortodontycznego.
Ząb 31 położony przedsionkowo w stosunku do szczytu części zębodołowej żuchwy.
Podejrzenie dehiscjencji wzdłuż przedsionkowej ściany korzenia zęba.
Cienki fenotyp obserwowany również przy zębie 41.

![]()
![]()
![]()
![]()
![]()
![]()
